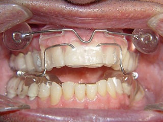
Το ροχαλητό είναι το ηχητικό αποτέλεσμα της στένωσης του φάρυγγα και της ανάπτυξης αρνητικών πιέσεων μέσα στο θώρακα, προκειμένου να διασφαλιστεί ο απαραίτητος αναπνεόμενος όγκος αέρα. Όταν το ροχαλητό συνδυάζεται με άπνοιες ύπνου, τότε παρατηρείται το σύνδρομο αποφρακτικής άπνοιας ύπνου. Στις ανωτέρω παθήσεις οι θεραπευτικές ιδιότητες της σύγχρονης ορθοδοντικής είναι πάρα πολλές. Σειρά μηχανημάτων που έχουν σαν σκοπό την εγγυής μετακίνηση της κάτω γνάθου για την διεύρυνση του στενωμένου φάρυγγά ή την πίεση της μαλθακής υπερώιας και την ανόρθωση της επιγλωττίδας. Ο ορθοδοντικός σε συνεργασία με τον θεράποντα Ω.Ρ.Λ. γιατρό, καταρτίζει το τεχνικό πλάνο θεραπείας.

