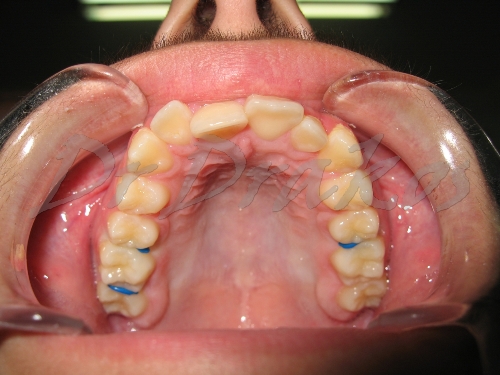
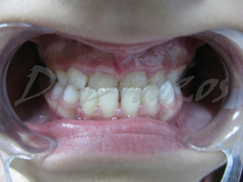
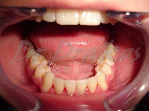
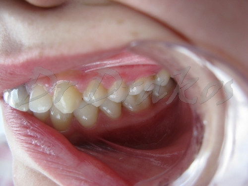
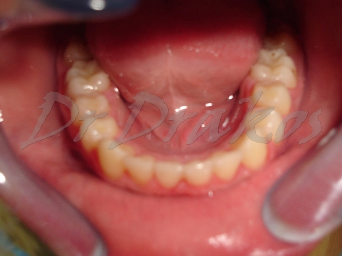
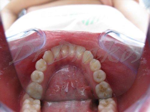
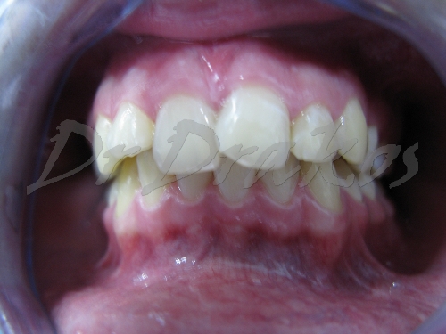
Κορίτσι (15 ετών) ΙΙ 1 Τάξη

Έντονος προγναθισμός άνω γνάθου, οπίσθια σταυροειδής σύγκλειση
Θεραπεία χωρίς εξαγωγές
Διάρκεια Θεραπείας: 16 μήνες

Πριν την θεραπεία

Μετά την θεραπεία

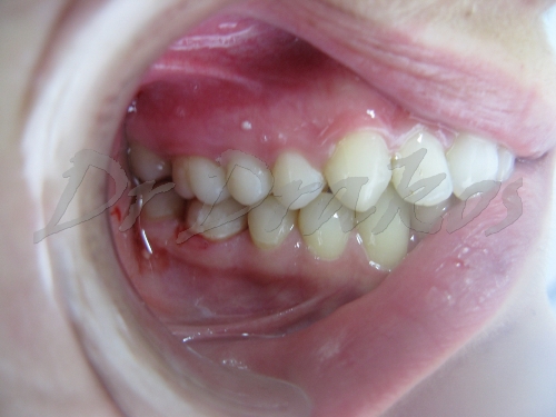
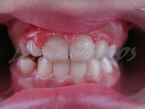
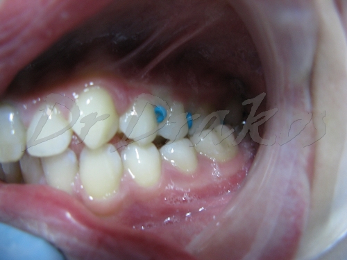
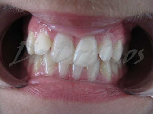
Κορίτσι (12 ετών) ΙΙ 1 Τάξη

Έντονος προγναθισμός άνω γνάθου,
Θεραπεία χωρίς εξαγωγές
Μηχανισμός ταχείας διεύρυνσης υπερωίας Hyrax
Διάρκεια Θεραπείας: 13 μήνες

Πριν την θεραπεία

Μετά την θεραπεία

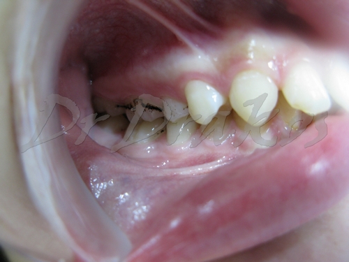
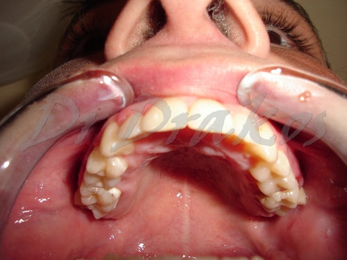
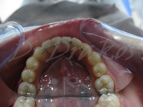
Αγόρι (15 ετών) ΙΙ 1 Τάξη

Έντονος προγναθισμός άνω γνάθου,non-compliance
Θεραπεία χωρίς εξαγωγές
Μηχανισμός απώ – μετακίνησης γομφίων (fast-back)
Διάρκεια Θεραπείας: 14 μήνες

Πριν την θεραπεία

Μετά την θεραπεία

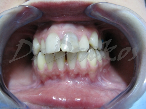
Κορίτσι (15 ετών) ΙΙ 2 Τάξη

Γονιδιακός προγναθισμός άνω γνάθου
Θεραπεία χωρίς εξαγωγές
Διάρκεια Θεραπείας: 15 μήνες

Πριν την θεραπεία

Μετά την θεραπεία

Αγόρι (15 ετών) ΙΙΙ Τάξη

Έντονος προγναθισμός κάτω γνάθου , πρόσθια κοπτική και οπίσθια σταυροειδής σύγκλειση
Θεραπεία με εξαγωγές κάτω προγομφίων
Διάρκεια Θεραπείας: 24 μήνες

Πριν την θεραπεία

Μετά την θεραπεία

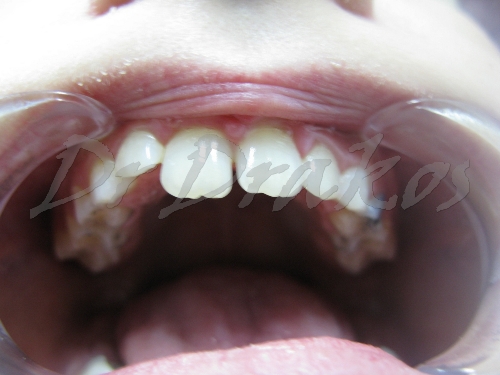
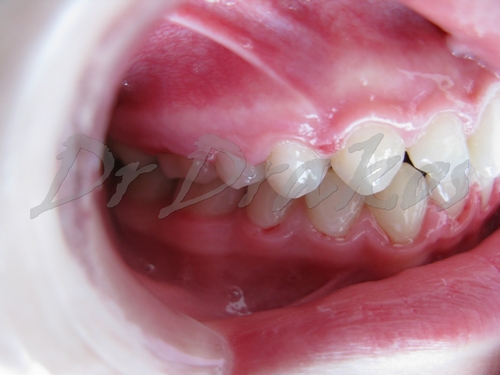
Αγόρι (13 ετών) ΙΙ Τάξη

Ήπια πρόταξη άνω γνάθου με συνωστισμό και σκελετικό προγναθισμό
Διάρκεια Θεραπείας: 12 μήνες

Πριν την θεραπεία

Μετά την θεραπεία

Κορίτσι (8 ετών) ΙΙΙ Τάξη

Σοβαρός προγναθισμός κάτω γνάθου με συνωστισμό και σκελετικό προγναθισμό με πρόσθια σταυροειδή σύγκλειση
Διάρκεια Θεραπείας: 10 μήνες (προληπτική ορθοδοντική)

Πριν την θεραπεία

Μετά την θεραπεία